Lithium Disilicate

Beauty, strength, and precision-restorations that perform.


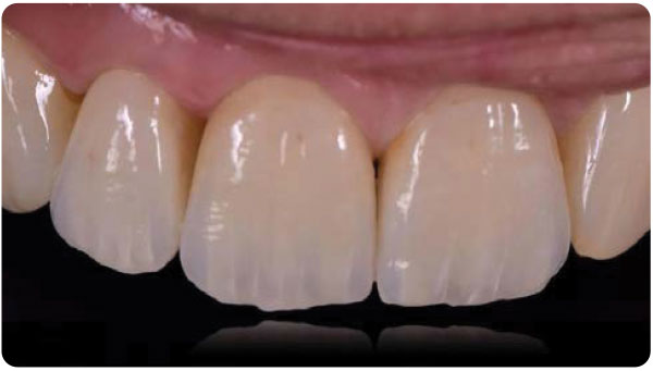
Image description

IPS e.max®

Achieve exceptional aesthetics and long-lasting durability with IPS e.max®, our premium glass ceramic solution. Engineered with optimal opalescence, translucency, and light diffusion, IPS e.max® restorations seamlessly blend with natural dentition, ensuring predictable and highly aesthetic results for your most demanding cases.


​With a flexural strength of 400–500 MPa, IPS e.max® provides the durability and reliability you need for a wide range of anterior and posterior restorations — supporting long-term patient satisfaction.


INDICATIONS

  • Anterior and Posterior Crowns - Delivering exceptional aesthetics and strength for single-unit restorations.
  • Anterior Bridge (3-units) - A reliable and aesthetic solution for short-span anterior replacements.
  • Veneers - Creating lifelike and natural-looking smile transformations.
  • Inlay/Onlay - Offering a conservative and aesthetic approach to restoring posterior teeth.​

CONTRAINDICATIONS

  • Posterior Bridge
  • Cantilever Bridge/Extension Units
  • Patients with severely reduced residual dentition
  • ​Patients with Bruxism


PREPARATION

  • ​Chamfer or shoulder prep with 4º-8º axial wall taper
  • Minimum of 1.5mm occlusal clearance
  • At least 1mm chamfer margin
  • No feather edge margins
  • No sharp line angles 
Image description
Image description

Amber®

Experience a new standard in aesthetic dentistry with Amber® Press. This advanced lithium disilicate material delivers exceptionally lifelike restorations with significantly enhanced flexural strength compared to previous generations.

With a flexural strength of 460–560 MPa, Amber® provides the confidence and reliability needed for a variety of anterior and posterior restorations — delivering both beauty and durability for your patients.


​INDICATIONS

  • Anterior and Posterior Crowns - Achieve seamless integration and natural aesthetics for single-unit restorations.
  • Anterior Bridge (3-units) - A strong and aesthetic solution for replacing missing anterior teeth.
  • Veneers - Craft stunning smile makeovers with exceptional shade matching capabilities.
  • Inlay/Onlay - Offer minimally invasive and highly aesthetic posterior restorations.


CONTRAINDICATIONS

  • Posterior Bridge
  • Cantilever Bridge/Extension Units
  • Patients with severely reduced residual dentition
  • ​Patients with Bruxism


PREPARATION

  • Chamfer or shoulder prep with 4º-8º axial wall taper
  • Minimum of 1.5mm occlusal clearance
  • At least 1mm chamfer margin
  • No feather edge margins
  • No sharp line angles
Image description

Have questions or interested in a partnership? Call us today or visit our contact page to get started.